See What’s Possible with Dental Implants


Dental Implants in Los Angeles That Look and Feel Natural
Smile with confidence again — even if you’ve been told implants aren’t possible
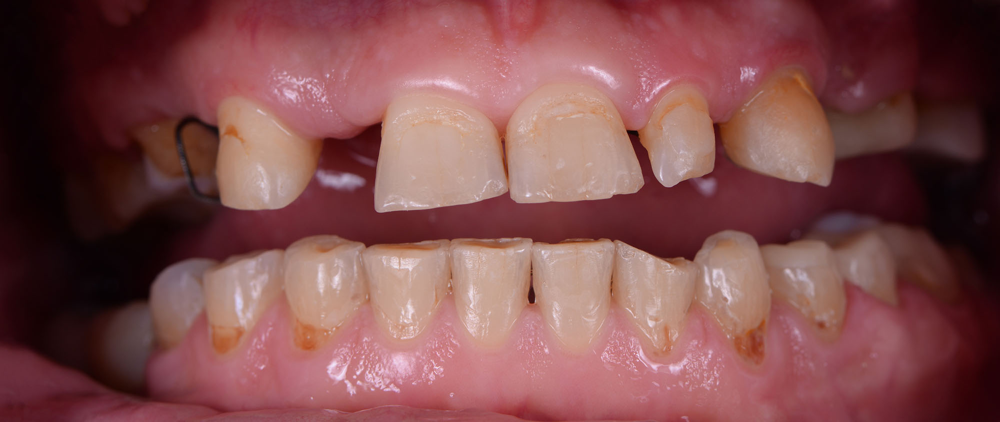
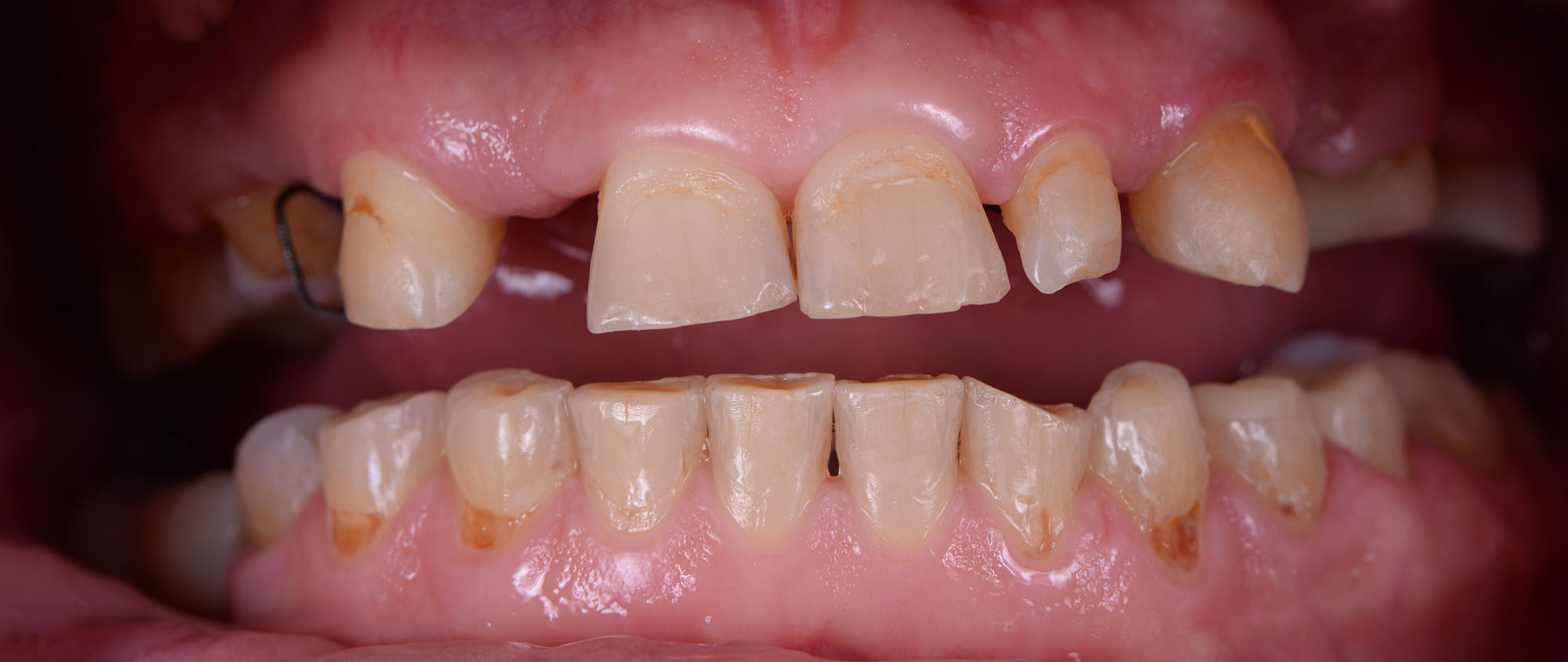
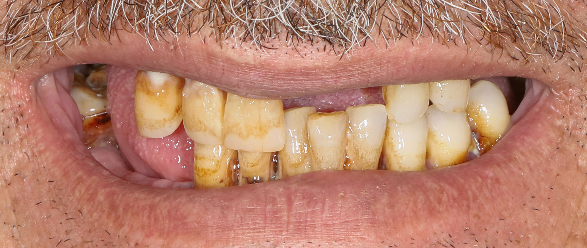
What Dental Implants Can Achieve – Before & Afters
Dental implants are designed to restore the look, feel, and function of natural teeth—helping you eat comfortably, smile confidently, and enjoy everyday life again.






Which Dental Implant Solution Is Right for You?
Not all dental implant treatments are the same. Whether you’re missing one tooth or need a full-mouth restoration, Dr. Arman Torbati offers advanced solutions tailored to your needs, bone structure, and long-term goals.
Single Tooth Implant
Best for patients missing one tooth
- Replaces a single missing tooth permanently
- Preserves surrounding teeth and bone
- Looks and functions like a natural tooth
Implant-Supported Bridge
Best for multiple missing teeth
- Replaces several teeth without removable dentures
- Strong, stable, and long-lasting
- No need to affect healthy adjacent teeth
All-on-4 / All-on-6 / All-on-X (Full Arch Implants)
Best for patients missing most or all teeth
- Full set of fixed teeth using 4–6 implants
- Immediate transformation in many cases
- Natural look, strong bite, permanent solution
Implant-Supported Dentures
Best for patients wanting more stability
- Secure alternative to loose dentures
- Snaps in place or fixed permanently
- Improved comfort, chewing, and confidence
What Happens If You Don’t Replace Missing Teeth?
Missing teeth are more than just a cosmetic issue. Over time, they can lead to serious changes in your oral health, facial structure, and quality of life.
When a tooth is missing, the jawbone in that area begins to shrink. This can affect your facial appearance and make future treatments more complex.
Nearby teeth begin to move into the empty space, leading to bite problems, uneven wear, and additional dental issues that may require more treatment later.
Chewing becomes more difficult, and many people avoid foods they enjoy while also feeling less confident when smiling, speaking, or interacting with others.
issing teeth can increase plaque buildup, gum problems, and the risk of infection, affecting your overall oral health and long-term dental stability if untreated.
What People Say
I’m in my mid-50s and had been dealing with gum disease for years, which eventually led to losing several teeth. Dr. Arman Torbati recommended a bone graft and a full arch All-on-4 dental implant solution. The results are incredible. My teeth look completely natural and feel just like they did when I was in my 20s. I truly feel alive again. I can eat anything I want—steak, sandwiches—without any discomfort. Dr. Torbati is extremely knowledgeable, caring, and professional. I highly recommend him.
I had been hiding my smile for years because I felt embarrassed about my teeth. From my first visit, Dr. Arman Torbati made me feel comfortable and confident in the process. He took the time to explain everything clearly and guided me every step of the way. My dental implants look so natural that no one can tell the difference. I feel like myself again and smile without hesitation. Dr. Torbati is skilled, honest, and truly cares about his patients. I highly recommend Dr. Arman Torbati.
I was nervous about getting dental implants, but Dr. Arman Torbati made the entire process smooth and stress-free. His attention to detail and genuine care for his patients really stand out. The procedure was much easier than I expected, and the results exceeded everything I hoped for. My teeth feel strong, stable, and completely natural. I can finally enjoy eating and speaking without worrying. If you’re on the fence, don’t wait—Dr. Torbati is the best decision you can make.

